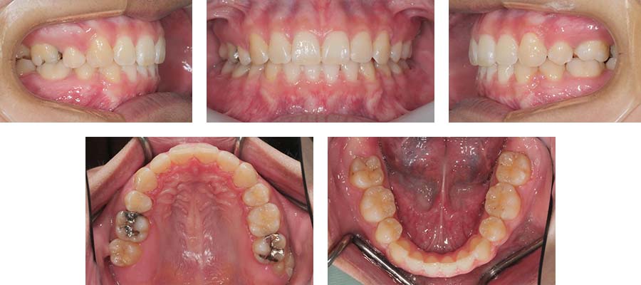
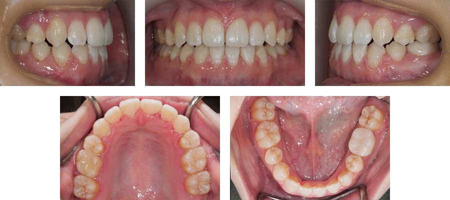
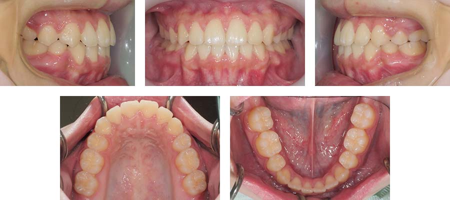
上下顎前突
上下前歯の前突があるケースです。
歯を並べるスペースを確保するために、上下左右の4番目の歯を抜歯しました。
抜歯したスペースを利用して突出感の改善を行なっています。
部活や受験もありお休み期間がありましたが2年以内で終了しました。
| 主訴 | 歯並び |
|---|---|
| 年齢・性別 | 17歳/女性 |
| 治療方針 | 抜歯により得られたスペースを利用して適切な咬合の獲得を行う |
| 抜歯部位 | 上下顎両側第一小臼歯 |
| 使用装置 | マルチブラケット装置(上下表側矯正) |
| 治療期間 | 1年10ヶ月 |
| リテーナー | 上ベッグタイプリテーナー、下ホーレータイプリテーナー |
リスク及び副作用
矯正治療では以下のリスクや副作用が考えられます。
- 歯根吸収(歯の根が短くなる症状)
- 歯肉退縮(歯茎が下がる症状)
- アンキローシス(歯と歯を支える骨が癒着し歯が動かなくなる。)
- 歯髄壊死(歯の神経が失活してしまう状態)
- 顎関節症(顎の痛み)
費用
| 検査・診断料 | 30,000円 |
|---|---|
| 装置料 | 680,000円(上下表側矯正) |
| 調整料 | 5000円/月(19回) |
| 観察料 | 3000円/月(治療後の経過観察、3ヶ月に1回) |
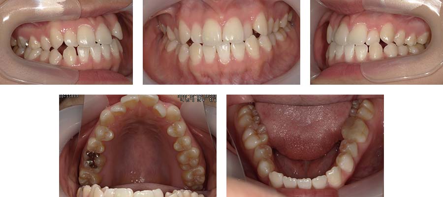
上下顎前突
上下前歯の前突があるケースです。
歯を並べるスペースを確保するために、上下左右の4番目の歯を抜歯しました。
抜歯したスペースを利用して突出感の改善を行なっています。
| 主訴 | 下の前歯が出ている、歯並び |
|---|---|
| 年齢・性別 | 21歳/女性 |
| 治療方針 | 抜歯により得られたスペースを利用して適切な咬合の獲得を行う |
| 抜歯部位 | 上下顎両側第一小臼歯 |
| 使用装置 | マルチブラケット装置(上下表側矯正) |
| 治療期間 | 1年8ヶ月 |
| リテーナー | 上ベッグタイプリテーナー、下ホーレータイプリテーナー |
リスク及び副作用
矯正治療では以下のリスクや副作用が考えられます。
- 歯根吸収(歯の根が短くなる症状)
- 歯肉退縮(歯茎が下がる症状)
- アンキローシス(歯と歯を支える骨が癒着し歯が動かなくなる。)
- 歯髄壊死(歯の神経が失活してしまう状態)
- 顎関節症(顎の痛み)
費用
| 検査・診断料 | 30,000円 |
|---|---|
| 装置料 | 680,000円(上下表側矯正) |
| 調整料 | 5000円/月(20回) |
| 観察料 | 3000円/月(治療後の経過観察、3ヶ月に1回) |
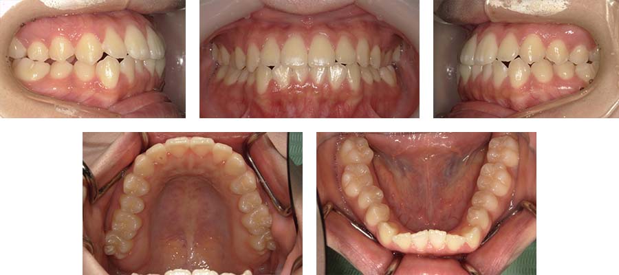
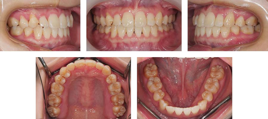
上下顎前突
上下前歯の前突があるケースです。
歯を並べるスペースを確保するために、上下左右の4番目の歯を抜歯しました。
抜歯したスペースを利用して突出感の改善を行なっています。
| 主訴 | 前歯が出ている、唇が閉まらない |
|---|---|
| 年齢・性別 | 13歳/女性 |
| 治療方針 | 抜歯により得られたスペースを利用して適切な咬合の獲得を行う |
| 抜歯部位 | 上下顎両側第一小臼歯 |
| 使用装置 | マルチブラケット装置(上下表側矯正) |
| 治療期間 | 1年3ヶ月 |
| リテーナー | 上ベッグタイプリテーナー、下ホーレータイプリテーナー |
リスク及び副作用
矯正治療では以下のリスクや副作用が考えられます。
- 歯根吸収(歯の根が短くなる症状)
- 歯肉退縮(歯茎が下がる症状)
- アンキローシス(歯と歯を支える骨が癒着し歯が動かなくなる。)
- 歯髄壊死(歯の神経が失活してしまう状態)
- 顎関節症(顎の痛み)
費用
| 検査・診断料 | 30,000円 |
|---|---|
| 装置料 | 680,000円(上下表側矯正) |
| 調整料 | 5000円/月(15回) |
| 観察料 | 3000円/月(治療後の経過観察、3ヶ月に1回) |
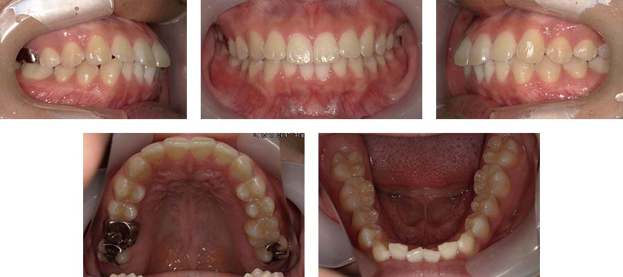
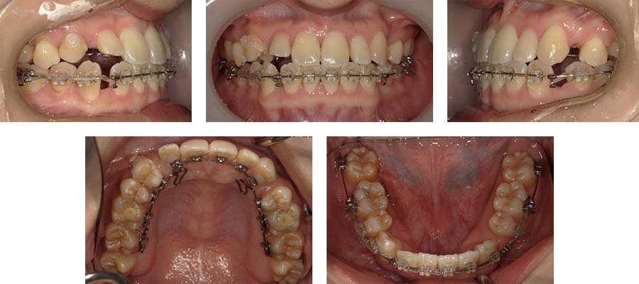
上下顎前突(上下の出っ歯)
上下前歯の突出と口元の突出感があるケースです。
歯を並べるスペースを確保するために、上下左右の4番目の歯を抜歯しました。
抜歯したスペースを利用して突出感の改善を行なっています。
| 主訴 | 前歯が出ている |
|---|---|
| 年齢・性別 | 21歳/女性 |
| 治療方針 | 抜歯により得られたスペースを利用して適切な咬合の獲得を行う |
| 抜歯部位 | 上下顎両側第一小臼歯 |
| 使用装置 | マルチブラケット装置(上裏側下表側矯正) |
| 治療期間 | 2年8ヶ月 |
| リテーナー | 上ベッグタイプリテーナー、下ホーレータイプリテーナー |
リスク及び副作用
矯正治療では以下のリスクや副作用が考えられます。
- 歯根吸収(歯の根が短くなる症状)
- 歯肉退縮(歯茎が下がる症状)
- アンキローシス(歯と歯を支える骨が癒着し歯が動かなくなる。)
- 歯髄壊死(歯の神経が失活してしまう状態)
- 顎関節症(顎の痛み)
費用
| 検査・診断料 | 30,000円 |
|---|---|
| 装置料 | 900,000円(上裏側下表側矯正) |
| 調整料 | 5000円/月(32回) |
| 観察料 | 3000円/月(治療後の経過観察、3ヶ月に1回) |
上下顎前突(上下の出っ歯)
上下前歯の突出と口元の突出感があるケースです。
歯を並べるスペースを確保するために、上下左右の4番目の歯を抜歯しました。
また右上の6番目の歯が金属の被せ物をしており神経もとってある弱った歯であったため、当該歯を抜歯して親知らずを噛み合わせに使用しています。
抜歯したスペースを利用して突出感の改善を行なっています。
| 主訴 | 前歯が出ている |
|---|---|
| 年齢・性別 | 24歳/女性 |
| 治療方針 | 抜歯により得られたスペースを利用して適切な咬合の獲得を行う |
| 抜歯部位 | 上下顎両側第一小臼歯、上顎右側第一大臼歯 |
| 使用装置 | マルチブラケット装置(上裏側下表側矯正) |
| 治療期間 | 2年11ヶ月 |
| リテーナー | 上ベッグタイプリテーナー、下ホーレータイプリテーナー |
リスク及び副作用
矯正治療では以下のリスクや副作用が考えられます。
- 歯根吸収(歯の根が短くなる症状)
- 歯肉退縮(歯茎が下がる症状)
- アンキローシス(歯と歯を支える骨が癒着し歯が動かなくなる。)
- 歯髄壊死(歯の神経が失活してしまう状態)
- 顎関節症(顎の痛み)
費用
| 検査・診断料 | 30,000円 |
|---|---|
| 装置料 | 900,000円(上裏側下表側矯正) |
| 調整料 | 5000円/月(47回) |
| 観察料 | 3000円/月(治療後の経過観察、3ヶ月に1回) |
切端咬合
上下前歯の切端咬合(前歯の先端部分)があるケースです。
歯を並べるスペースを確保するために、埋伏している上顎右側犬歯及びその乳犬歯と他3本の歯を抜歯しました。
抜歯したスペースを利用して突出感の改善を行なっています。
| 主訴 | 前歯が出ている |
|---|---|
| 年齢・性別 | 21歳/女性 |
| 治療方針 | 抜歯により得られたスペースを利用して適切な咬合の獲得を行う |
| 抜歯部位 | 上顎左側第一小臼歯、上顎右側犬歯、下顎両側第一小臼歯 |
| 使用装置 | マルチブラケット装置(上裏側下表側矯正) |
| 治療期間 | 3年0ヶ月 |
| リテーナー | 上ベッグタイプリテーナー、下ホーレータイプリテーナー |
リスク及び副作用
矯正治療では以下のリスクや副作用が考えられます。
- 歯根吸収(歯の根が短くなる症状)
- 歯肉退縮(歯茎が下がる症状)
- アンキローシス(歯と歯を支える骨が癒着し歯が動かなくなる。)
- 歯髄壊死(歯の神経が失活してしまう状態)
- 顎関節症(顎の痛み)
費用
| 検査・診断料 | 30,000円 |
|---|---|
| 装置料 | 900,000円(上裏側下表側矯正) |
| 調整料 | 5000円/月(36回) |
| 観察料 | 3000円/月(治療後の経過観察、3ヶ月に1回) |
叢生(ガタガタ)
上下歯列に叢生(ガタガタ)と犬歯低位唇側転位(八重歯)があるケースです。
歯を並べるスペースを確保するために、上下左右の4番目の歯を抜歯しました。
抜歯したスペースを利用して叢生(ガタガタ)の改善を行なっています。
| 主訴 | 歯並びがガタガタ |
|---|---|
| 年齢・性別 | 20歳/女性 |
| 治療方針 | 抜歯により得られたスペースを利用して適切な咬合の獲得を行う |
| 抜歯部位 | 上下顎両側第一小臼歯 |
| 使用装置 | マルチブラケット装置(上下表側矯正) |
| 治療期間 | 1年7ヶ月 |
| リテーナー | 上ベッグタイプリテーナー、下ホーレータイプリテーナー |
リスク及び副作用
矯正治療では以下のリスクや副作用が考えられます。
- 歯根吸収(歯の根が短くなる症状)
- 歯肉退縮(歯茎が下がる症状)
- アンキローシス(歯と歯を支える骨が癒着し歯が動かなくなる。)
- 歯髄壊死(歯の神経が失活してしまう状態)
- 顎関節症(顎の痛み)
費用
| 検査・診断料 | 30,000円 |
|---|---|
| 装置料 | 680,000円(表側ワイヤー矯正) |
| 調整料 | 5000円/月(19回) |
| 観察料 | 3000円/月(治療後の経過観察、3ヶ月に1回) |
上顎前突(出っ歯)
上顎前突(出っ歯)と空隙(すきっ歯)があるケースです。
上下前歯を後退させるスペースを確保するために、上左右の4番目の歯と下左右の5番目の歯を抜歯しました。
抜歯したスペースを利用して前歯の後方への移動を行なっています。
| 主訴 | 出っ歯、口が閉じにくい |
|---|---|
| 年齢・性別 | 15歳/女性 |
| 治療方針 | 抜歯により得られたスペースを利用して上下前歯の後退 |
| 抜歯部位 | 上顎両側第一小臼歯、下顎両側第二小臼歯 |
| 使用装置 | マルチブラケット装置(上下表側矯正) |
| 治療期間 | 1年11ヶ月 |
| リテーナー | 上ベッグタイプリテーナー、下ホーレータイプリテーナー |
リスク及び副作用
矯正治療では以下のリスクや副作用が考えられます。
- 歯根吸収(歯の根が短くなる症状)
- 歯肉退縮(歯茎が下がる症状)
- アンキローシス(歯と歯を支える骨が癒着し歯が動かなくなる。)
- 歯髄壊死(歯の神経が失活してしまう状態)
- 顎関節症(顎の痛み)
費用
| 検査・診断料 | 30,000円 |
|---|---|
| 装置料 | 680,000円(表側ワイヤー矯正) |
| 調整料 | 5000円/月(23回) |
| 観察料 | 3000円/月(治療後の経過観察、3ヶ月に1回) |
上顎前突(出っ歯)
上顎前突(出っ歯)のケースです。
上の前歯を後退させるスペースを確保するために、上左右の5番目の歯を抜歯しました。
抜歯したスペースを利用して前歯の後方への移動を行なっています。
| 主訴 | 出っ歯、横顔 |
|---|---|
| 年齢・性別 | 25歳/女性 |
| 治療方針 | 抜歯により得られたスペースを利用して上の前歯の後退 |
| 抜歯部位 | 上顎両側第二小臼歯(形態不良、神経を取っているため) |
| 使用装置 | マルチブラケット装置(上下表側矯正) |
| 治療期間 | 1年8ヶ月 |
| リテーナー | 上ベッグタイプリテーナー、下ホーレータイプリテーナー |
リスク及び副作用
矯正治療では以下のリスクや副作用が考えられます。
- 歯根吸収(歯の根が短くなる症状)
- 歯肉退縮(歯茎が下がる症状)
- アンキローシス(歯と歯を支える骨が癒着し歯が動かなくなる。)
- 歯髄壊死(歯の神経が失活してしまう状態)
- 顎関節症(顎の痛み)
費用
| 検査・診断料 | 30,000円 |
|---|---|
| 装置料 | 680,000円(表側ワイヤー矯正) |
| 調整料 | 5000円/月(20回) |
| 観察料 | 3000円/月(治療後の経過観察、3ヶ月に1回) |
上下顎前突(上下の出っ歯)
上下顎前突(上下の出っ歯、口元が出ている)ケースです。
上下前歯を後退させるスペースを確保するために、上下左右の4番目の歯を抜歯しました。
抜歯したスペースを利用して上下の前歯の後方への移動を行なっています。
確実に前歯の後方移動を行うために矯正用アンカースクリューを使用しています。
| 主訴 | 出っ歯、口元が出ている |
|---|---|
| 年齢・性別 | 19歳/女性 |
| 治療方針 | 抜歯により得られたスペースを利用して上下前歯の後退 |
| 抜歯部位 | 上下顎両側第一小臼歯 |
| 使用装置 | マルチブラケット装置(上下表側矯正)、アンカースクリュー2本 |
| 治療期間 | 2年1ヶ月 |
| リテーナー | 上ベッグタイプリテーナー、下ホーレータイプリテーナー |
リスク及び副作用
矯正治療では以下のリスクや副作用が考えられます。
- 歯根吸収(歯の根が短くなる症状)
- 歯肉退縮(歯茎が下がる症状)
- アンキローシス(歯と歯を支える骨が癒着し歯が動かなくなる。)
- 歯髄壊死(歯の神経が失活してしまう状態)
- 顎関節症(顎の痛み)
費用
| 検査・診断料 | 30,000円 |
|---|---|
| 装置料 | 680,000円(表側ワイヤー矯正) |
| 調整料 | 5000円/月(25、うち24回を超えた分は処置料なし) |
| 観察料 | 3000円/月(治療後の経過観察、3ヶ月に1回) |
空隙歯列(すきっ歯)
正中離開(真ん中の隙間)と全体的な空隙(すきっ歯)があるケースです。
空隙を閉鎖しつつ咬合を改善しました。
隙間の原因として舌突出癖(舌を前方へ突出する癖)が疑われたため、歯を動かしながらMFT(舌の運動訓練)を行なっています。
| 主訴 | 歯の真ん中の隙間 |
|---|---|
| 年齢・性別 | 17歳/女性 |
| 治療方針 | 空隙を利用して個々の歯の再配列 |
| 抜歯部位 | 非抜歯 |
| 使用装置 | マルチブラケット装置(上下表側矯正) |
| 治療期間 | 1年3ヶ月 |
| リテーナー | 上ベッグタイプリテーナー、下ホーレータイプリテーナー |
リスク及び副作用
矯正治療では以下のリスクや副作用が考えられます。
- 歯根吸収(歯の根が短くなる症状)
- 歯肉退縮(歯茎が下がる症状)
- アンキローシス(歯と歯を支える骨が癒着し歯が動かなくなる。)
- 歯髄壊死(歯の神経が失活してしまう状態)
- 顎関節症(顎の痛み)
費用
| 検査・診断料 | 30,000円 |
|---|---|
| 装置料 | 680,000円(表側ワイヤー矯正) |
| 調整料 | 5000円/月(15回) |
| 観察料 | 3000円/月(治療後の経過観察、3ヶ月に1回) |
開咬(前歯が噛んでいない)、側方偏位(真ん中のずれ)、下顎前突(下の前歯が前に出ている)
開咬(前歯が噛んでいない)、側方偏位(真ん中のずれ)、下顎前突(下の前歯が前に出ている)があるケースです。
上顎の歯列の幅を拡大したあと、上下左右の4番目の歯を抜歯しました。
抜歯したスペースを利用して、上下の前歯の後方への移動と軽度な叢生の改善、顔面正中(顔の真ん中)と上下正中(上下前歯の真ん中)の一致を行なっています。
| 主訴 | 前歯でものが噛めない |
|---|---|
| 年齢・性別 | 15歳/男性 |
| 治療方針 | 上下歯列幅の調和、上下前歯の後方移動による前歯部被蓋の獲得、正中の一致、叢生の改善 |
| 抜歯部位 | 上下顎両側第一小臼歯 |
| 使用装置 | 急速拡大装置、マルチブラケット装置(上下表側矯正) |
| 治療期間 | 3年3ヶ月 |
| リテーナー | 上ベッグタイプリテーナー、下ホーレータイプリテーナー |
リスク及び副作用
矯正治療では以下のリスクや副作用が考えられます。
- 歯根吸収(歯の根が短くなる症状)
- 歯肉退縮(歯茎が下がる症状)
- アンキローシス(歯と歯を支える骨が癒着し歯が動かなくなる。)
- 歯髄壊死(歯の神経が失活してしまう状態)
- 顎関節症(顎の痛み)
費用
| 検査・診断料 | 30,000円 |
|---|---|
| 装置料 | 680,000円(表側ワイヤー矯正) |
| 調整料 | 5000円/月(39回、うち24回を超えた分は調整料なし) |
| 観察料 | 3000円/月(治療後の経過観察、3ヶ月に1回) |
初診相談
First Counseling
当院では初診相談を⾏っております。
⻭列矯正治療に興味のある⽅は、お気軽にご利⽤ください。まだ、治療を始めるかどうか決めていない⽅でも不安や疑問をご相談ください。